"Un espoir immense": l'IRM "le plus puissant du monde" dévoile ses premières images

Emmanuel Macron salue une "fierté française". L'IRM "le plus puissant du monde" a livré près de Paris, ses premières images du cerveau humain, comme l'a annoncé le CEA Paris-Saclay, un centre de recherche, ce mardi 2 avril.
Baptisé "Iseult", l'IRM (appareil à imagerie par résonance magnétique) est la star de Neurospin, le centre de recherche sur l'imagerie cérébrale du CEA, dirigé par le neuroscientifique Stanislas Dehaene. Il doit permettre de mieux comprendre le fonctionnement du cerveau et de certaines maladies neurodégénératives ou psychiatriques.
En 2021, les chercheurs du CEA (Commissariat à l'énergie atomique et aux énergies alternatives), situé sur le plateau de Saclay (Essonne), avaient choisi d'étrenner l'engin avec un potimarron, avant que les autorités sanitaires ne donnent récemment leur feu vert pour l'examen des sujets humains.
Au cours des derniers mois, une vingtaine de volontaires sains ont pu entrer dans l'antre de la machine, qui a dévoilé les premières images de leur cerveau. "Il fallait prouver aux autorités sanitaires qu’une telle intensité de champ magnétique n’a pas d’effet sur la santé", explique au Monde Nicolas Boulant, directeur de recherche au CEA et responsable scientifique du projet.
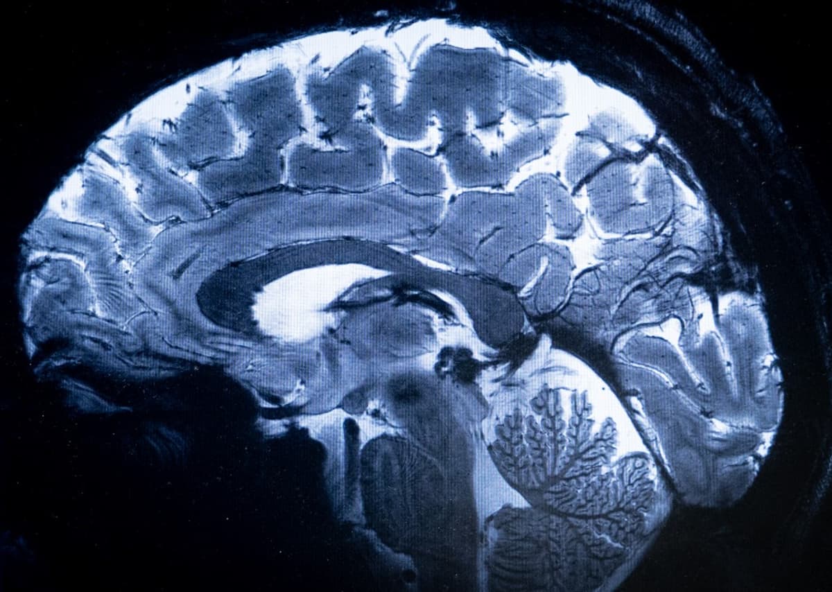
"Un niveau de finesse jamais atteint"
"On a un niveau de finesse jamais atteint au CEA", se félicite Alexandre Vignaud, physicien, directeur de recherche au CEA. Le champ magnétique de cet aimant hors norme atteint 11,7 T (tesla), permettant l'obtention d'images 10 fois plus précises que celles produites actuellement dans les hôpitaux, où la puissance des IRM ne dépasse pas 3 tesla.
Le tout en seulement quatre minutes, avec un résultat pour lequel un IRM d'hôpital prendrait "théoriquement plusieurs heures", "irréaliste pour le confort du patient et parce que ses mouvements 'brouilleraient' l’image", comme l'explique le CEA dans un communiqué.
"Avec cette machine, on peut voir les tout petits vaisseaux qui alimentent le cortex cérébral ou des détails du cervelet qui étaient quasi invisibles jusqu'alors", souligne Alexandre Vignaud.
"C'est une avancée majeure et un espoir immense pour l'étude de notre santé", a également réagi le président Emmanuel Macron sur X (ex-Twitter). La ministre de la Recherche, Sylvie Retailleau, a mis en avant "une révolution technologique qui ouvre des perspectives inouïes pour notre santé".
Plus de 20 ans de recherche
L'engin, un aimant de 132 tonnes abrité dans un cylindre de 5 mètres de long et autant de haut, composé d'une bobine où circule un courant de 1.500 ampères, présente une ouverture de 90 cm pour accueillir un corps humain. Cette prouesse technique, aboutissement d'un partenariat franco-allemand, a nécessité plus de 20 ans de recherche.
Deux projets concurrents, aux Etats-Unis et en Corée du Sud, ont des ambitions similaires mais ne sont pas encore parvenus à l'étape cruciale de l'imagerie sur l'homme. L'un des objectifs de cet IRM hors norme est d'affiner la compréhension de l'anatomie du cerveau et les zones qui s'activent lors de la réalisation de certaines tâches.

Les scientifiques savent déjà que différents types d'images que nous sommes capables de reconnaître (un visage, un lieu, un mot...) activent des régions distinctes du cortex cérébral. Avec l'IRM à 11,7 T, "on va pouvoir mieux comprendre la relation entre structure et fonctions cognitives du cerveau, lorsqu'on lit un livre ou qu'on fait un calcul mental par exemple", assure Nicolas Boulant.
Étudier des maladies neurodégénératives
Mais il s'agira aussi d'élucider les mécanismes à l'œuvre dans des maladies neurodégénératives (type Parkinson ou Alzheimer) ou encore dans les affections psychiatriques (dépression, bipolarité, schizophrénie...).
"On sait par exemple qu'une zone en particulier - l'hippocampe - est impliquée dans la maladie d'Alzheimer, donc on espère pouvoir comprendre l'organisation, le fonctionnement des cellules de cette partie du cortex cérébral", illustre Anne-Isabelle Etienvre, directrice de la recherche fondamentale au CEA.
Les chercheurs espèrent aussi pouvoir cartographier la distribution de certains médicaments, tel le lithium, utilisé dans le traitement du trouble bipolaire. Le champ magnétique très élevé de la machine permettra en effet d'identifier les structures cérébrales cibles du lithium chez les patients et de distinguer des plus ou moins bons répondeurs au traitement.
"Si on comprend mieux ces maladies très impactantes, on devrait pouvoir réaliser un diagnostic plus précoce, et donc les soigner mieux", avance Anne-Isabelle Etienvre. Iseult restera dédié pendant un certain nombre d'années à la recherche fondamentale.
"L'appareil n'a pas vocation à devenir un outil de diagnostic clinique mais on espère que les connaissances acquises pourront ensuite se décliner à l'hôpital", souligne Nicolas Boulant. De nouveaux volontaires sains devraient être recrutés d'ici la fin de l'été. Les cerveaux de patients malades ne seront, eux, pas étudiés avant quelques années encore.